甚麼是足踝扭傷 (拗柴)
|
|
足踝扭傷,俗稱「拗柴」,是最常見的足踝關節疾病之一。足踝扭傷(拗柴)是因為內翻或外翻扭傷而導致韌帶撕裂,通常會伴隨疼痛、腫脹甚至行走困難。
常見的足踝扭傷(拗柴)情況,例如在不平坦的路面上行走或跑步、走路時踩空或者穿著不合適的鞋子(例如: 高跟鞋),都很容易導致踝關節內翻或外翻扭傷,通常是內翻扭傷(±95% ),外翻扭傷較少 (±5%)。
|
|
|
/1 - 複製.jpeg) |
| 足踝內翻扭傷 |
外側翻踝腫痛 |
|
|
<<返回最頂>>
|
如何自診足踝扭傷 (拗柴)
|
|
|
1.先觀察瘀腫範圍 2.按壓下列圖表範圍 根據以上指引來自行分辨是哪一種級別的足踝扭傷(拗柴)再自行選擇治療拗柴的方法。
|
/韌帶撕裂圖_v002-01.png) |
|
|
<<返回最頂>>
|
不同足踝扭傷(拗柴)的情況與治療方法
|
急性足踝扭傷 (拗柴)
|
急性足踝扭傷(拗柴)以 1.前距腓韌帶、2.跟腓韌帶和後距腓韌帶的撕裂程度分成四級
|
/急性足踝扭傷.png) |
/螢幕擷取畫面 2026-03-31 102521.png) |
一級韌帶撕裂 (輕微)
|
二級韌帶撕裂 (輕微)
|
三級韌帶撕裂 (中等)
|
選擇2: 石膏固定+短身步行靴(A16b)
使用石膏固定約3週,進行剛性固定,同時使用拐杖避免足踝負重。之後,穿戴短身步行靴(A16b)約3週,無需使用拐杖,進行階段性康復,促進癒合復康,避免關節僵硬。
|
/level3_option02.png) |
|
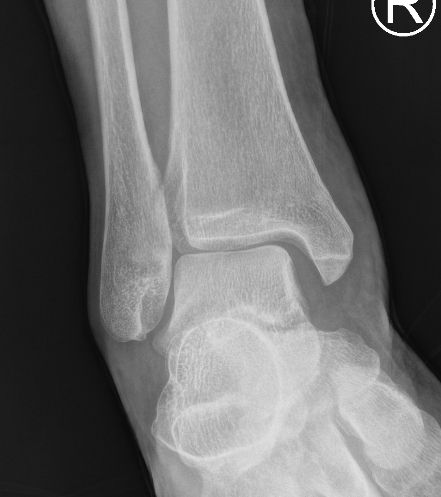
四級韌帶撕裂 (嚴重)
| 病徵: 四級踝關節扭傷屬於嚴重病例,韌帶斷裂,踝關節半脫位。症狀包括劇烈疼痛、腫脹、踝關節不穩定和行走困難。 |
/level4_01.jpeg) |
/level4_02.jpeg) |
| 腫痛 |
距骨移位 |
|
|
選擇1: 手法復位+石膏固定+短身步行靴(A16b)
「手法復位」後,需用石膏固定3週,並進行X光檢查以確保沒有半脫臼。之後,受傷的踝關節可繼續以石膏固定大約3週,靜止休養,促進癒合。隨後使用短身步行靴(A16)進行大約3週的復健治療,所有治療期間需使用拐杖,避免足踝負重所導致的疼痛及半脫臼,並在拐杖的輔助下進行階段性康復,漸進式負重。
|
/level4_option01.png) |
|
選擇2: 手法復位+高身步行靴(A17) +短身步行靴(A16b)
若患者不願接受石膏固定,可在手法復位後,穿戴高身步行靴(A17) 3週,並需進行X光檢查以確保踝關節無殘餘的半脫臼。之後3週,可使用短身步行靴(A16b)繼續固定受傷的踝關節,並在拐杖的輔助下進行階段性康復,漸進式負重。
|
/level4_option02.png) |
|
|
慢性足踝扭傷 (拗柴)
|
慢性足踝扭傷(拗柴)是繼發性足踝扭傷(拗柴)或足踝不穩,常見症狀如下:
•韌帶鬆弛,因反覆出現扭傷 •走路時因關節不穩,容易腳內翻扭傷 •運動時不敢發力 •長時間活動後,腳踝會出現腫脹或疼痛
|
|
/關節不穩.jpg) |
| 韌帶鬆弛 |
關節不穩 |
|
治療方法:
足踝護具A03b、A05 、A08在足踝的內外側有成形膠板,加上「8」字型固定帶設計,能包裹固定患處。有效預防足踝內翻動作所導致的足踝扭傷,同時鞏固受傷足踝及鬆弛韌帶,預防舊患再傷及預防新的足踝扭傷。
|
|
|
|
<<返回最頂>>
|
<<返回最頂>>
瀏覽為
排序由
顯示
每頁
足踝扭傷護托
適用症狀:
- 嚴重足踝扭傷,韌帶撕裂,穩定性骨折
足踝扭傷護托
適用症狀:
- 足踝扭傷,韌帶鬆脫,預防運動創傷
足踝扭傷護托
適用症狀:
- 足踝扭傷(二級),韧帶鬆脫,穩定性骨折
足踝扭傷護托
適用症狀:
- 二級足踝扭傷,鬆脫,穩定性骨折
步行靴
適用症狀:
- 穩定性下脛骨骨折
- 穩定性踝骨折